Heroische Zahnmedizin: Schwierige Patienten, schwierige Entscheidungen
Von Raymond Kimsey, DMD
Meine Praxis ist offen für Patienten mit besonderen Bedürfnissen, und ich erhalte oft Überweisungen von anderen Ärzten für schwierige Fälle. So schwierig sie auch sein mögen, ich finde sie besonders lohnend.
Abbildung 1: Zeigt wuchernde Karies
Naomi war 10 Jahre alt und litt unter akuter Zahnarztphobie und grassierender Karies (Abbildung 1). Sie war so schwer zu behandeln, dass sie keine andere Behandlung erhalten konnte. Sie wurde an mich überwiesen, was für ihre Mutter, die die 40 Meilen lange Fahrt zu meiner Praxis in Miami auf sich nehmen musste, nicht besonders bequem war.
Meine erste Herausforderung bestand darin, Verständnis und Kommunikation mit einem 10-jährigen Kind aufzubauen, das aus einem anderen Kulturkreis stammte und Angst vor Zahnärzten hatte. Bei unserem ersten Termin verbrachte ich viel Zeit damit, mit ihr zu sprechen, und mit Hilfe meiner langjährigen Erfahrung in ähnlichen Situationen konnte ich ihr Vertrauen gewinnen. Ich erklärte ihr, dass Zahnärzte in der Regel zuerst die hinteren Zähne behandeln würden, während wir heute daran arbeiten würden, ihre vorderen Zähne gesund und schön zu machen. Naomi war einverstanden.
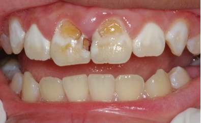
In Situationen wie dieser ist es oft am besten, den Patienten zu sedieren. Nachdem ich ihre Angst und Unruhe erfolgreich in den Griff bekommen hatte, war Naomi kooperativ, und ich verabreichte ihr eine IV-Sedierung. Abbildung s 2 und 3 zeigen ihre oberen Frontzähne nach der Entfernung von Karies und Bereiche von schweren Entkalkung. Beachten Sie die Freilegung der Pulpa an beiden zentralen Schneidezähne.
Abbildung 2: Zeigt die Freilegung der Pulpa nach der Entfernung von Karies und stark entkalktem Gebiss
Abbildung 3: Linguale Ansicht mit übermäßigem Verlust an Zahnsubstanz
Ich stand nun vor einer Reihe von Entscheidungen darüber, wie die Freilegungen zu behandeln und die Zähne wiederherzustellen waren. In Anbetracht der schlechten Hygiene und der Vernachlässigung sowie der Ungewissheit, ob Naomi und ihre Mutter sich an eine Nachsorge halten würden, hatte die Fertigstellung dieses Frontzahnfalls in einem Besuch Priorität. Es bestand die begründete Möglichkeit, dass das Pulpagewebe kontaminiert war, und ich entschied mich für eine sofortige Wurzelbehandlung der zentralen Schneidezähne. Nach Abschluss der endodontischen Behandlung entschied ich mich für eine Kombination von Restaurationsmaterialien, um die individuellen Stärken der Zähne zu nutzen und dem Kind so die beste Chance zu geben, diese Zähne zu retten.
Ich hatte drei Materialien zur Auswahl: ein konventionelles Komposit, das sich seit langem als sehr verschleißfest erwiesen hat, obwohl es eine hohe Rate an rezidivierender Karies aufweist; Activa Bioactive-Restorative, ein dualhärtendes Material, das ein hohes Maß an Bioaktivität in einer starken, bruchfesten, gummierten Harzmatrix bietet; und Activa Presto, ein lichthärtendes, bioaktives Komposit mit geringem Durchfluss, das die patentierte Crysta MCP-Technologie (Methacrylat-funktionalisiertes Calciumphosphat) enthält. Presto bietet eine bessere Ästhetik als Activa Bioactive-Restorative und verfügt über die zusätzlichen Mineralien und das dynamische Verhalten der Activa Bioactive Materialien. Sowohl Activa Bioactive als auch Activa Presto setzen Kalzium, Phosphat und Fluorid frei, was die Remineralisierung unterstützt und dazu beiträgt, die Ränder zu versiegeln und Mikrolecks zu verhindern, die die Hauptursache für Sekundärkaries sind. Ich würde die Stärken aller drei Materialien auf die folgende Weise nutzen.
Nach dem Ätzen und dem Auftragen des Dentastic Uno Haftvermittlers begann ich mit dem Grundaufbau des Stumpfes mit Activa Bioactive-Restorative. Die dualen Aushärtungseigenschaften ermöglichten eine schnelle Füllung und sorgten gleichzeitig für eine vollständige Aushärtung tief in der Pulpakammer. Anschließend trug ich eine Schicht aus konventionellem Komposit auf, um eine zusätzliche Verschleißfestigkeit zu erreichen.
Die Labialflächen wurden mit den Activa Presto-Farben A2 und A3.5 restauriert, wobei ich die sogenannte „Swirl-Technik“ anwende, um einen natürlichen Farbverlauf zu erzeugen. Dazu lege ich Inkremente von zwei verschiedenen Presto-Farben nebeneinander. Vor der Aushärtung verwirble und vermische ich das Material mit der Spitze eines Explorers an den Rändern, um eine Reihe von Farben für den Übergang und ein kosmetisches Ergebnis zu erzielen (Abbildung 4).
Abbildung 4: Zeigt die Ergebnisse der „Swirl“-Technik beim Mischen der Activa Presto Low Flow bioaktiven Kompositfarben A2 und A3.5
Abbildung 5: Unmittelbar postoperatives Foto
Abbildung 6: 10-Wochen-Nachuntersuchung zeigt geheiltes Gewebe und verbesserte Mundpflege
Ich habe den Eingriff in einer Sitzung durchgeführt. Abbildung 5 zeigt das unmittelbare Ergebnis. Das weiche Gewebe wird einige Zeit brauchen, um zu heilen. Naomi kam nach 10 Wochen zurück und ich war erfreut, eine tiefgreifende Veränderung in ihrer Einstellung und Selbstfürsorge zu sehen. Ich war jetzt ihr vertrauter Freund, und sie freute sich, mich zu sehen. Sie putzte sich die Zähne und hatte ihre Ernährung verbessert. Sie strahlte Zuversicht aus. Die Weichteile waren wunderbar verheilt (Abbildung 6), und das Gehäuse sah großartig aus. Aber das ging es um mehr als die Wiederherstellung von Zähnen. Dies kann ein lebensveränderndes Ereignis sein für einen 10-jähriges Kind, das wissen musste, dass sich jemand genug um sie kümmerte, um sie auf einen Weg zu führeno gute Entscheidungen zu treffen, Vertrauen in medizinischen Fachleutenund Vertrauen in sich selbst.

Dr. Kimsey betreibt eine Privatpraxis in Coral Gables, Florida. Zu seinen Spezialgebieten gehören Implantologie, Anästhesie und IV-Sedierung sowie die Behandlung von Patienten mit geistigen und körperlichen Entwicklungsstörungen.



